The wild broccoli 🥦
Current mood: feeling
My third blog post
Mood: 😟 stressed written under the first quarter 🌓
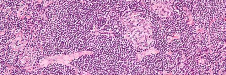
Castleman disease (CD) describes a group of rare lymphoproliferative disorders that involve enlarged lymph nodes, and a broad range of inflammatory symptoms and laboratory abnormalities. Whether Castleman disease should be considered an autoimmune disease, cancer, or infectious disease is currently unknown.1

“We could do a full body CT scan but we don’t like doing that to young people like you”
“The lymph nodes have to be at least 2 cm to do anything anyway, so it would be better to wait”
“You might get better on your own… maybe”
“There isn’t really any way for you to get better on your own from Castleman disease or lymphoma”

I started getting sick in April. Examination of my body found two miniscule non-engorged ticks, presumably picked up as passengers on a recent hike through a meadow. The symptoms were consistent with Lyme disease (except for the characteristic rash, which was absent), so I took a course of doxycycline and waited to get better. And after two weeks, I did get better. So I didn’t think anything of it.
The next month, the symptoms returned. I had recently undergone a laser tattoo removal session, so I thought maybe it was a side effect of the tattoo ink breaking up into tiny particles and being processed by my body. Of course you would get a horribly high fever and hurt everywhere after tattoo removal. Some people on the internet said the same thing had happened to them, to a lesser extent, so I was just unlucky. I was given an intravenous antibiotic at the doctor’s office and sent on my way. So I didn’t think anything of it.
Over the summer, I found myself suddenly bedridden with a high fever three weeks after the previous episode of fever. After a couple days, it went away on its own. But then three weeks later, it came back. And it kept coming back every three weeks after that. I moved to a new town, and shortly developed a fever of 104°F. At the urgent care, my C-reactive protein2 was over 100 mg/L. A tick-borne infection was suspected, but the tick panel was negative for all possible infections. My other labs were normal.
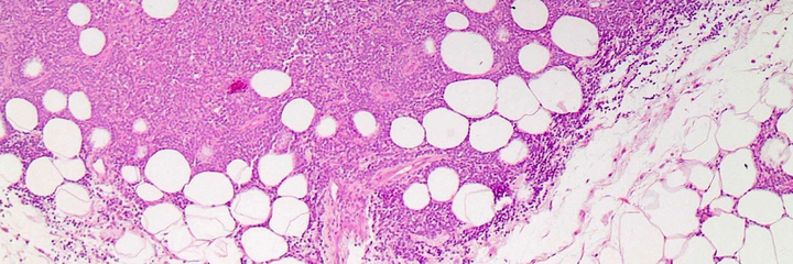
I was referred to rheumatology. An enlarged lymph node was found in my armpit, but it wasn’t too large. I tested negative for autoantibodies and other markers of autoimmune disease, and my symptoms were not consistent with the common autoimmune conditions. Adult-onset Still’s disease was suspected, but my ferritin levels, although significantly elevated, were not high enough for a diagnosis. I also did not have the characteristic salmon-colored rash. A genetic test for autoinflammatory conditions was ordered; I tested negative. My IgG levels were tested: moderately elevated, but the individual IgG subgroups were within the range of normal. My IgE was significantly elevated.
The differential diagnosis so far was:
Adult-onset Still’s disease- Some sort of unknown parasitic infection
A genetic autoinflammatory condition- Lymphoma
I was referred to infectious disease. In the meantime, I got sick again. The ID doctor told me that maybe I’d just get better on my own and never find out what made me sick. But I didn’t get better on my own. Another fever came; I was forced to withdraw from my probability theory class. Another fever came; the director of student health wrote a letter to the dean suggesting I medically withdraw from the next semester. I learned that because it was past the halfway-point for the fall semester, I would not be able to recoup my tuition if I medically withdrew in fall and the amount of scholarship applied would disappear.
More differential diagnoses were added to the list:
- Rheumatic fever
- HHV-8-associated multicentric Castleman disease
- An unknown parasitic infection
- Lymphoma

I underwent an echocardiogram to assess if there was bacterial vegetation on the valves of my heart. There was no evidence of bacterial vegetation or bacteremia. My mitral valve was thickened; there was evidence of regurgitation in several valves. An abdominal ultrasound revealed a normal-sized spleen. An ASO3 titer had borderline results; my blood cultures were negative for bacterial growth. I developed a dull ache in my armpit; I started waking up in the middle of the night drenched in sweat. My eosinophils dropped to zero, ruling out parasitic infection.
After returning to the infectious disease doctor, I started an experimental trial of 1 gram of penicillin per day. If I don’t get better, the number of differential diagnoses drops to 2.
It’s still possible that I have an autoinflammatory disease that doesn’t show up on the genetic tests.
It’s possible that I might have a borderline case of rheumatic fever.
It’s still possible that I have cancer.
Like Castleman disease, it’s still uncertain which one of those it is.

I’m scared. I’m so scared. I don’t know what to do. Every time I get sick, it gets worse. I’ve already had to drop a class and I’m probably going to have to drop the semester. Permanent damage has already been done to my heart, whether I have rheumatic fever or not. If I have rheumatic fever, it could get even worse. If I have Castleman disease, it’s likely that it will progress to cancer. If I have cancer, then I have cancer and everything it entails.
All three of these diseases can and will kill you. It’s taken so long to get even a preliminary diagnosis. If it’s wrong, then I’ll lose even more time. I’ve already lost so much time to being bedridden with disease. When I’m sick I can’t eat or sleep or drink water; I just stumble around in a haze. What if it’s none of these things and I never get better?
Not knowing is agonizing. But this first step of “knowing” with the potential rheumatic fever diagnosis is also agonizing. It’s a fatal disease after all. And the treatment is to take intravenous antibiotics for the next 5 years. However, there is a shortage of IV antibiotics right now, so I can’t actually do that. Instead, I’ve been started on a daily course of 4 pills a day. For a moment, I felt afraid that I wouldn’t be able to take the full course. But I really want to live, so I have no choice but to. It’s either this, or stay sick forever and die from heart failure. Or maybe I don’t have rheumatic fever at all… I don’t know…
I’m just scared. I don’t want to die. I don’t want to die.